Founded in 1977, Dr. Garg’s Clinic stands as a symbol of excellence, compassion, and trust in the field of dentistry. Over the past four decades, we have transformed countless smiles and touched the lives of patients from all over Nagpur, Central India, and even internationally. Today, we proudly serve patients from three strategic locations in the city — Itwari, Sadar, and Wardhman Nagar — making quality dental care accessible and convenient.
We’re proud to share that Dr. Garg’s Clinic, already recognized as the best dental clinic in Nagpur, has now been awarded the Best Dental Clinic in India at the prestigious Famdent Dental Oscars 2024, held in Mumbai. This national-level recognition is a reflection of our unwavering commitment to excellence in dental care, innovation, and patient satisfaction.
From a humble dream to an award-winning reality, our journey has been shaped by a dedicated team that blends experience, expertise, and youthful energy. Under the visionary mentorship of Dr. Anoop Garg, and with the dynamism of Dr. Ketan Garg and Dr. Neha Garg, our clinic continues to set new standards in patient care.

In the past three decades Titanium Dental Implants have become very popular and a predictable treatment option for the missing teeth. It has become so versatile that one can possibly replace a single tooth or replace the entire upper and lower teeth with the help of Dental Implants.

Fixed dental prostheses like Crowns and Bridges are placed for partly or completely missing teeth. Crowns and bridges are tooth like prostheses made of Porcelain fused to metal, Ceramic, Zirconia or Dilithium silicate to replace the tooth form , size and colour of a natural tooth. They are either fixed over few existing teeth or to dental implants.

A Painful tooth due to the involvement of Pulp tissue may require Root Canal Treatment ( RCT) to save it from extraction. Decay causing deep cavity, fractured tooth, severe gum disease causes pulp to inflame or necrose with severe pain and swelling.Root canal treatment is done to extirpate the affected neurovascular tissue inside the root canal.

Past era has witnessed tooth extraction as an ordeal conducted under laughing gas anesthesia ,with a bunch of people holding the head and limbs of the patient. But with the advent of safe and effective local anaesthesia it is now possible to render painless tooth extraction and minor oral surgical procedures.

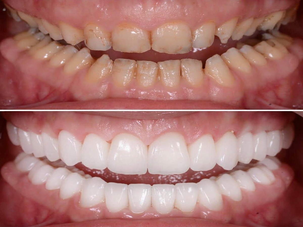
Over a period of time the natural teeth loses its form, function and aesthetics due to physical, chemical and traumatic wear and tear. Loss of tooth height causes shortening of face ad changes in the temporomandibular joint. After thorough analysis and case study a comprehensive treatment planning.

Laser though known to be effective in Eye and Soft tissue surgeries is gaining popularity in Dental Surgery as well. Soft tissue lasers are used for painless gingival contouring, removal of gingival growth, depigmentation of gums , photostimulation of herpetic lesions , apthous ulcers and wound healing. The procedure is painless and bloodless.
Posted on S Moundekar15 September 2025Trustindex verifies that the original source of the review is Google. Dentist Ketan clinic and doctor as well is the most recommended dentist in town .I personally have never experienced non painful treatment ever.The team work and facility of the GARGS’s clinic is just amazing.Posted on Falguni Awaghad14 September 2025Trustindex verifies that the original source of the review is Google. I had very comfortable experience at the Dr. Garg's clinic considering my fear of dental treatments...Ketan Sir And Neha Maam took great care throughout my long process of dental procedures(Wisdom tooth removal,RCT&Dental Implant) with great insights about dental Hygiene and much more...also the staff at clinic are very sweet and coperative.Posted on Arnav Rathore27 August 2025Trustindex verifies that the original source of the review is Google. Dr.ketan sir treatment is very nice also all staff behaviour is very nice ... Such a treatment is painless... thanks alots dr .ketan sir🙏🙏Posted on Mansi Dixit22 August 2025Trustindex verifies that the original source of the review is Google. We had a fantastic experience at Mr.Gargs! The entire team was welcoming, professional, and made us feel at ease from the moment. I highly recommend them to anyone looking for quality dental care!Posted on samistha agrawal14 August 2025Trustindex verifies that the original source of the review is Google. The experience was very good. There was no difficulty in surgery at all.Posted on Yashasvi Admane12 August 2025Trustindex verifies that the original source of the review is Google. Very satisfied with the Teeth scaling treatment that i gotVerified by TrustindexTrustindex verified badge is the Universal Symbol of Trust. Only the greatest companies can get the verified badge who has a review score above 4.5, based on customer reviews over the past 12 months. Read more
BDS NAGPUR UNIVERSITY I MDS ORAL SURGERY
BDS I MDS
BDS I MDS
Experience world-class dental care that combines compassion, precision, and cutting-edge technology. We’re here to make every visit stress-free and every smile brighter. We care for every generation — from toddlers to seniors — with a gentle touch and modern techniques that make you feel at home. From preventive care to advanced smile makeovers — we deliver personalized treatments that are painless, affordable, and reliable.