Teeth Whitening in Nagpur
Teeth Whitening
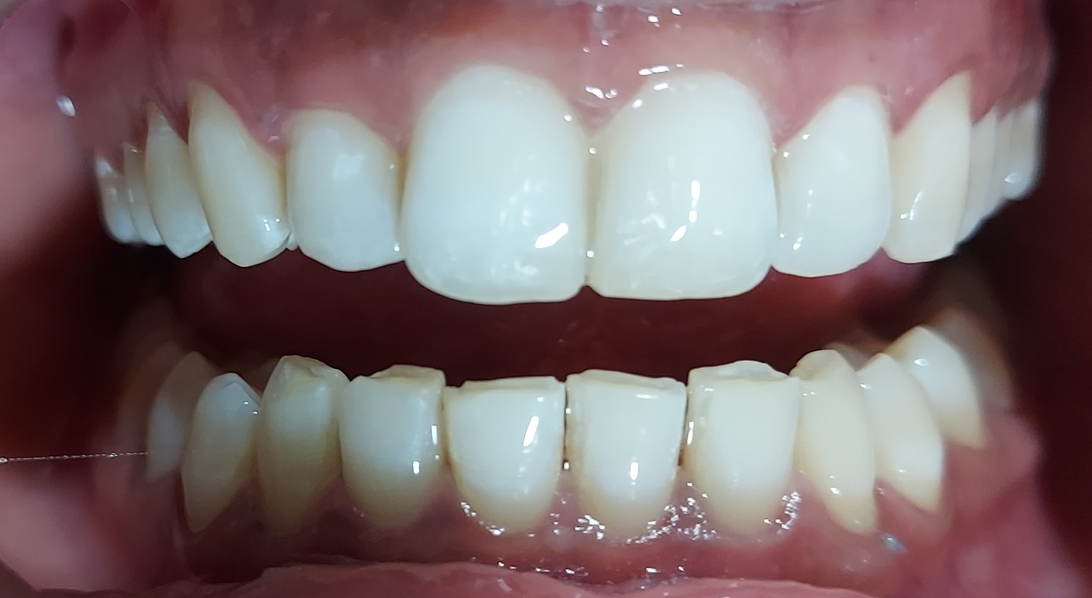
Patient with stained teeth-even those that are severely discoloured- can be treated successfully. Cosmetic dentistry affords these patients the opportunity to have the beautiful,
natural smiles they desire with a minimum of time , discomfort, and cost.
There are five ways to treat stained teeth.
1 ) POLISHNG : Simplest method of stain removal. Eliminates many food stains, the majority of which can be attributed to coffee or tea.
2) BLEACHING : Utilises a strong oxidising agent to lighten the teeth. It’s a relatively conservative and often highly effective way to brighten the smile. Frequently used on mild to moderate tetracycline and fluoride stains.
3) BONDING : Application of a plastic material to the existing tooth
Composite resin bonding technique is used frequently to cover stains in conservative and aesthetically pleasing manner.

Great Location
Caring Team
Awesome Clinic
Our Services
Get In Touch With Us
To book an appointment to Dr Garg's Clinic or if you have any any question, simply fill out the form and we will contact you back regarding the intervention you require.
Professional Teeth Whitening
Professional teeth whitening is a cosmetic dental procedure that lightens teeth and removes stains and discoloration. Unlike over-the-counter products, professional whitening provides safe, effective, and dramatic results under dental supervision.
Signs You Might Need Teeth Whitening
- Yellow or brown tooth discoloration
- Stains from coffee, tea, or wine
- Tobacco-related tooth staining
- Age-related tooth darkening
- Medication-induced discoloration
- Desire for brighter, whiter smile
- Special event preparation
Who Benefits from Professional Whitening
- Individuals with stained or discoloured teeth
- Those seeking quick smile enhancement
- Patients with realistic whitening expectations
- Adults with healthy teeth and gums
- Anyone wanting professional-grade results
- Patients preparing for special occasions
Popular Whitening Methods
- In-office professional whitening
- Custom take-home whitening trays
- Combination in-office and home treatment
- Whitening for specific stain types
- Maintenance whitening programs
- Pre-treatment sensitivity management
Advantages of Professional Whitening
- Dramatic and immediate results
- Safe and supervised treatment
- Customized treatment approach
- Longer-lasting results
- Professional-strength whitening agents
- Reduced sensitivity risk
Frequently Asked Questions
Professional whitening costs vary by method chosen. In-office treatments typically cost more than take-home options.
Results typically last 1-3 years with proper care, depending on lifestyle habits and maintenance.
Professional whitening is safe when performed under dental supervision with appropriate protocols.
Some temporary sensitivity may occur, but professional treatment includes measures to minimize discomfort.
Most natural teeth respond well to whitening, but artificial restorations and some intrinsic stains may not lighten.
Results vary by individual, but most patients achieve 3-8 shades whiter than their starting point.
